AI & ML Engineer • Medical AI Specialist
"AI isn't just code — it's a bridge to make healthcare accessible, accurate, and human-centered."
— NAUMAN ALI SHAH
Building segmentation & classification models for MRI, X-ray, and dermatology imaging.
Custom CNNs, U-Nets, transfer learning with PyTorch/TensorFlow for healthcare diagnostics.
Medical NER, LLMs, LangChain/CrewAI for clinical text and autonomous agents.
Next.js/React frontends with FastAPI backends for deploying AI models.
Name: Nauman Ali Shah
Email: naumanalishah393@gmail.com
Location: Islamabad, Pakistan
Education: GCU Lahore
Hi, I'm Nauman. I'm a self-taught AI & ML Engineer and Medical AI Specialist bridging medicine and artificial intelligence. With a strong pre-medical background (96.6% in 9th, 95.3% in 10th grade), I pivoted to code and AI to build impactful healthcare solutions.
Currently a student at GCU Lahore, I focus on applications of AI in medicine — from medical imaging segmentation to clinical NLP and agentic systems. Passionate about making high-quality healthcare accessible through technology.


2021-2023
Medical Sciences
2023-2025
Medicine / AI Focus
2024-onward
AI in Healthcare
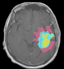
PyTorch • 3D U-Net • MRI • 2025
Multi-class segmentation of edema, non-enhancing, and enhancing tumors using custom Soft Dice Loss.
DenseNet121 • Transfer Learning • GradCAM
Deep learning for chest X-ray pathology detection with interpretability via GradCAM.
EfficientNet-B0 • Grad-CAM • 7 Classes
Classification of skin lesions with real-time explainability heatmaps.
LangChain/LangGraph • Threat Hunting
Autonomous threat hunter that analyzes security logs, checks IPs against AbuseIPDB, scans file hashes across 70+ AV engines via VirusTotal, and executes mitigation actions — all in under 90 seconds.
Python • Groq-LLM • Cybersecurity
AI-powered Content Disarm & Reconstruction engine for PDF and DOCX files. Detects and strips malicious JavaScript, macros, OLE objects, and embedded threats using PyMuPDF, python-docx, and Groq LLM analysis
PyTorch • U-Net • Electron Microscopy
Biomedical image segmentation for neuron structures in microscopy data.
AI Research & Dev
Jan 2024 - PRESENT
Lahore, PK
Developing applications at the intersection of healthcare and AI. Focusing on the technical implementation of LLMs and Computer Vision to solve medical accessibility challenges in the region.
Frontend Development
Jan 2024 - PRESENT
Lahore, PK
Building and maintaining personal web applications using React.js and modern frontend technologies. Designing and implementing complete user interfaces from concept to deployment.
Backend Development
Jan 2024 - PRESENT
Lahore, PK
Learning and building backend applications using Node.js/Express or Python frameworks and related technologies. Designing and implementing RESTful APIs and server-side logic for personal full-stack projects.
AI Development
Mar 2022 - Dec 2023
Self Employed
Mastering AI from scratch: simple ML to advanced DL, RL, GenAI, and agentic AI systems through intensive self-study. Building diverse hands-on projects including ML models, deep learning apps, generative AI tools, and autonomous agents.